MICOSIS O (HONGOS)
QUE ES LA MICOSIS
Las micosis son infecciones causadas por hongos que pueden afectar la piel, las uñas, el cabello e incluso órganos internos en casos graves. Hay diferentes tipos de micosis:
1. Micosis Superficiales: Afectan la superficie de la piel, uñas y cabello. Ejemplos incluyen tiña y pie de atleta.
2. Micosis Cutáneas: Son infecciones más profundas en la piel, como la candidiasis cutánea.
3. Micosis Subcutáneas: Afectan las capas más profundas de la piel y los tejidos debajo.
4. Micosis Sistémicas: Son infecciones graves que pueden afectar órganos internos y son peligrosas para personas con sistemas inmunológicos débiles.
Las infecciones por hongos pueden ser causadas por diferentes tipos de hongos y ocurren más comúnmente en lugares cálidos y húmedos. El tratamiento varía según la infección y puede incluir antifúngicos tópicos o sistémicos. Si tienes síntomas de una infección por hongos, es importante buscar atención médica para un diagnóstico preciso y tratamiento adecuado.







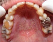
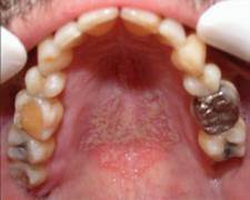
MICOSIS BUCAL
ONICOMICOSIS PIE DE ATLETA

LA MAYORIA DE DEPORTISTAS LA POSEEN ?
Micosis Vaginal o Candidiasis Vaginal
La micosis vaginal, o candidiasis vaginal, es una infección en la vagina causada por el hongo Candida. Esto puede provocar síntomas como picazón intensa, ardor al orinar, flujo vaginal espeso y blanco, y enrojecimiento. Se relaciona con desequilibrios en la flora vaginal. Los tratamientos incluyen cremas y supositorios antifúngicos que se aplican en la vagina, o medicamentos orales recetados por un médico. Si experimentas estos síntomas, es recomendable consultar a un profesional de la salud para obtener un diagnóstico preciso y un tratamiento adecuado.

Los hongos que comúnmente causan la micosis vaginal, también conocida como candidiasis vaginal, son principalmente del género Candida. El hongo Candida albicans es el responsable más común de estas infecciones, aunque también pueden estar involucradas otras especies de Candida, como Candida glabrata y Candida tropicalis. Estos hongos son parte de la flora natural del cuerpo y normalmente viven en pequeñas cantidades en la piel y en áreas húmedas como la boca, el tracto gastrointestinal y la vagina.
Cuando hay desequilibrios en el ambiente vaginal, como cambios en el pH o debilitamiento del sistema inmunológico, los hongos Candida pueden proliferar en exceso, causando la infección por candidiasis vaginal.

Como ayuda naturalmente a alivar
Tratamientos Alternativos
Es importante destacar que si tienes una infección por hongos, es recomendable consultar a un profesional de la salud antes de tomar cualquier medicamento o tratamiento alternativo. Los medicamentos antifúngicos recetados por un médico son la opción más segura y efectiva para tratar las micosis. Sin embargo, aquí hay algunos enfoques alternativos que algunas personas han considerado:
1. Probióticos: Algunas investigaciones sugieren que el uso de suplementos probióticos puede ayudar a restaurar el equilibrio de la flora vaginal y prevenir las recurrencias de la candidiasis vaginal.
2. Aceite de Coco: Se ha investigado el uso tópico de aceite de coco por sus propiedades antifúngicas. Sin embargo, los resultados varían y no se recomienda como única opción de tratamiento.
3. Ajo: Algunas personas han utilizado ajo fresco aplicado tópicamente o como supositorio, debido a sus propiedades antifúngicas naturales. Sin embargo, la eficacia y seguridad de este enfoque son discutibles.
4. Aceite de Árbol de Té: El aceite esencial de árbol de té se ha usado tópicamente por sus propiedades antifúngicas. Se debe diluir adecuadamente y se recomienda precaución debido a posibles reacciones alérgicas.
5. Dieta: Algunas personas sugieren que reducir el consumo de azúcares y alimentos refinados podría ayudar a controlar la candidiasis, ya que los hongos Candida se alimentan de azúcares.
Es fundamental recordar que estos enfoques alternativos pueden no ser igual de efectivos para todas las personas, y algunos pueden tener efectos secundarios o interactuar con otros medicamentos. Antes de probar cualquier tratamiento alternativo, es importante consultar con un profesional de la salud para obtener orientación y asegurarse de que sea seguro y adecuado para tu situación.
Tratamiento Medicamentoso
El tratamiento depende de el diagnostico medico , su permanencia y sus sintomas y su cuadro infeccioso
El tratamiento médico convencional para la micosis vaginal, también conocida como candidiasis vaginal, generalmente implica el uso de antifúngicos, que son medicamentos diseñados específicamente para combatir las infecciones por hongos. Aquí hay dos enfoques principales de tratamiento:
1. Antifúngicos Tópicos: Estos medicamentos se aplican directamente en la vagina y suelen estar disponibles en forma de cremas, óvulos o supositorios. Los antifúngicos tópicos comunes incluyen clotrimazol, miconazol y tioconazol. Sigue las instrucciones del médico y del producto para su correcta aplicación.
2. Antifúngicos Orales: Si la infección es recurrente o más grave, el médico podría recetar medicamentos antifúngicos en forma de pastillas orales. El fluconazol es un ejemplo común de un antifúngico oral utilizado para tratar la candidiasis vaginal.
Es importante consultar a un médico antes de iniciar cualquier tratamiento. El profesional de la salud realizará un diagnóstico preciso y recomendará el tratamiento adecuado basado en la gravedad de la infección y tus antecedentes médicos. Además, el médico puede ofrecer consejos para prevenir futuras infecciones y abordar posibles factores subyacentes que podrían estar contribuyendo a la micosis vaginal.




Recuerden que los tratamiento son diferentes de acuerdo a su diagnostico y a su complejidad
Recuerden que los tratamiento hoy en dia se hacen con clotrimazol + clindamicnia
el clotrimazol es un antifúngico utilizado para tratar infecciones por hongos, mientras que la clindamicina es un antibiótico utilizado para tratar infecciones bacterianas. Siempre es importante usar los medicamentos según las indicaciones del médico y comunicar cualquier efecto secundario o preocupación durante el tratamiento. Si tienes preguntas específicas sobre medicamentos o tratamientos, te recomiendo hablar con un profesional de la salud.
La higiene vaginal adecuada puede ayudar a prevenir las infecciones, incluida la micosis vaginal. Aquí hay algunas prácticas recomendadas para mantener una buena higiene vaginal y reducir el riesgo de infecciones:
1. Limpieza Suave: Lávate la zona genital con agua tibia y un jabón suave y sin fragancia. Evita los jabones perfumados o productos agresivos que puedan alterar el pH vaginal.
2. Evita Duchas Vaginales: Las duchas vaginales pueden perturbar el equilibrio natural de la flora vaginal y aumentar el riesgo de infecciones. No es necesario ducharse internamente.
3. Usa Ropa Interior de Algodón: Opta por ropa interior de algodón que permita que la zona respire y absorba la humedad. Evita la ropa interior ajustada o hecha de materiales sintéticos.
4. Cambia la Ropa Interior Regularmente: Cambia la ropa interior después de hacer ejercicio o sudar. La humedad puede favorecer el crecimiento de hongos.
5. Mantén la Zona Seca: Después de bañarte o nadar, asegúrate de secar bien la zona genital. La humedad puede crear un ambiente propicio para el crecimiento de hongos.
6. Evita Ropa Húmeda: No te quedes con un traje de baño húmedo durante períodos prolongados, ya que esto puede favorecer la proliferación de hongos.
7. Evita Rociadores Femeninos y Desodorantes Vaginales: Estos productos pueden irritar y desequilibrar la flora vaginal.
8. Cambia los Tampones y Compresas Regularmente: Cambia los tampones y compresas con regularidad durante el ciclo menstrual para prevenir la acumulación de humedad.
9. Mantén una Dieta Saludable: Una dieta equilibrada y rica en alimentos nutritivos puede ayudar a mantener un sistema inmunológico fuerte y un equilibrio saludable en el cuerpo.
10. Limita el Uso de Antibióticos: Los antibióticos pueden alterar la flora vaginal. Úsalos solo bajo la supervisión de un médico y según lo recetado.
11. Consulta a un Profesional de la Salud: Si experimentas síntomas de una infección vaginal, como picazón, ardor o flujo anormal, consulta a un médico para obtener un diagnóstico adecuado y un tratamiento efectivo.
Recuerda que cada persona es diferente, y lo que funciona para una persona puede no ser igualmente eficaz para otra. Mantener una buena higiene y un equilibrio en la zona vaginal es importante, pero también es esencial escuchar a tu cuerpo y consultar a un profesional de la salud si tienes inquietudes.
Prevengamos las infecciones o micosis vaginal

www.drogueriaspuntosverdes.com
ventas@drogueriaspuntosverdes.com
Legal
Politica de Privacidad

